LA LENGUA CARIBE

Hoy es Domingo, 10 de mayo - 8:58 a. m.

¡Ojo al dato! A hombre se le abrió un “agujero” en la tráquea por aguantarse un estornudo

Recientemente la revista académica BMJ Case Studies publicó un informe que ha dejado sin palabras a miles de personas, pues reportaron sobre el primer caso en el mundo de una persona que se hizo un pequeño agujero en la tráquea por intentar contener un estornudo.

El hombre protagonista de esta historia al parecer se encontraba conduciendo su auto y de repente sintió ganas de estornudar provocadas por una reacción alérgica.

Sin embargo, en vez de dejarlo salir como se hace naturalmente, se picó la nariz y cerro la boca para contenerlo.

Los científicos explicaron que, por los reportes existentes, se trata del primer caso en el mundo y además señalaron que, si mientras sucede el estornudo la persona cierra la nariz y la boca, se podría acumular una presión hasta 20 veces mayor que la que se genera en el acto como tal.

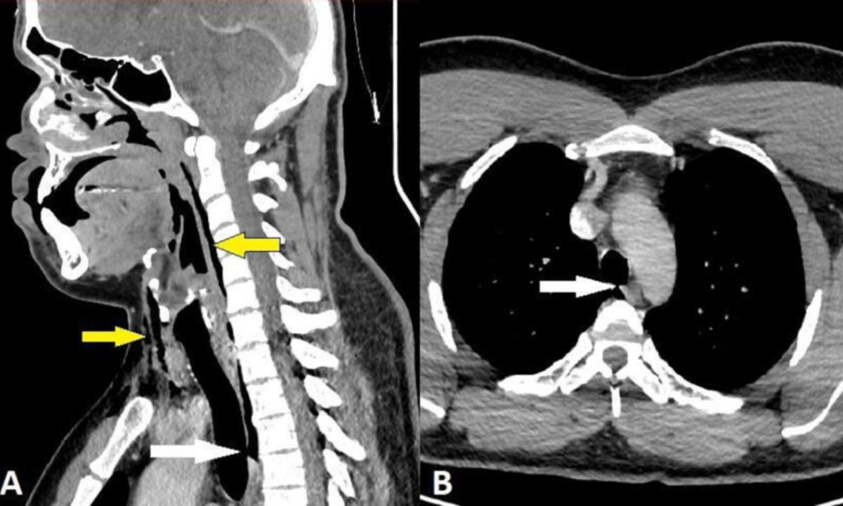
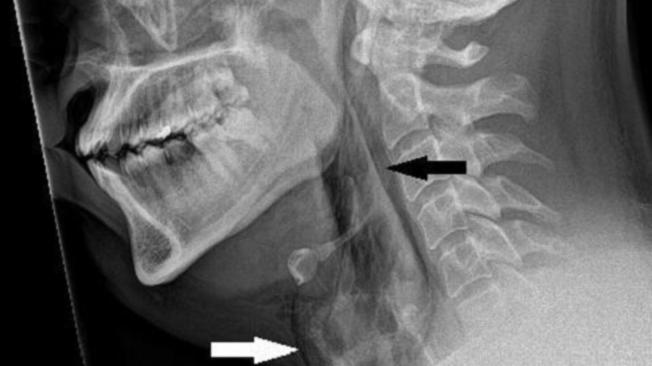
En el caso del hombre, la presión fue tanta que le abrió un agujero de 2 por dos milímetros en la tráquea.

Tras ocurrir el suceso, el hombre empezó a sentir un fuerte dolor e hinchazón en la zona de la garganta y aunque no tenía problemas para respirar o hablar, decidió dirigirse a un centro médica.

En las radiografías que le practicaron se confirmó que se trató de un enfisema quirúrgico.

En resumidas cuentas, el aire quedó atrapado debajo de las capas de tejido más profundas de la piel, ocasionándole un desgarro entre el tercer y cuarto hueso de la vértebra del cuello.

El paciente no necesitó de ninguna intervención quirúrgica, pero le pidieron que se quedara durante dos días en el hospital para monitorear sus niveles de oxígeno y signos vitales. Cinco semanas después, el hombre volvió al hospital y se evidenció que la herida se curó por completo.

Fuente consultada El Espectador

Notas relacionadas

@lalenguacaribe1

+150k Followers

La Lengua Caribe es un diario digital colombiano que cubre noticias de la región del Caribe colombiano, especialmente de los departamentos de Córdoba y Sucre.